¿Que enfermedades me pueden ocasionar las bacterias de la boca?
En la boca existe una gran variedad de bacterias que pueden oscilar entre 300 y 800 tipos

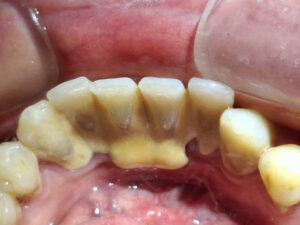
diferentes. Este amplio rango de microorganismos está relacionado con la acumulación de residuos alimenticios, especialmente debido a una higiene dental deficiente, como el no cepillar los dientes tres veces al día. La falta de cepillado propicia la formación de sarro dental, un endurecimiento provocado por la interacción entre las sales minerales contenidas en la saliva y las bacterias presentes en la boca. Dentro del sarro quedan atrapadas estas bacterias que continúan reproduciéndose.
La acumulación de bacterias favorece la incorporación de nuevas, ya sea por consumir alimentos en condiciones poco higiénicas como en la calle, utilizar platos o cubiertos mal lavados, recibir un beso, entre otras circunstancias. Estas bacterias recién adquiridas pueden ser aún más perjudiciales para la salud bucal.
Con el paso de los años, las bacterias presentes en la boca aumentan en número y diversidad. Además, el avance de la placa bacteriana genera inflamación en las encías, causando enrojecimiento y sangrado fácil, incluso con una presión mínima al cepillarse los dientes. Este sangrado facilita el paso de las bacterias al torrente sanguíneo.
Una vez en el sistema circulatorio, estas bacterias patógenas liberan toxinas que incluyen biomoléculas como lípidos, carbohidratos, proteínas y ácidos nucleicos.
El reciente artículo científico de septiembre de 2025 establece una conexión entre tres bacterias comunes y el cáncer de páncreas.
Entre las bacterias más frecuentes identificadas se incluyen las siguientes, junto con las enfermedades potenciales que podrían desencadenar.
Es una de las bacterias principales responsables del mal aliento y de la periodontitis, una enfermedad avanzada de las encías. Esta bacteria genera factores de virulencia, como proteasas (gingipaínas) y fimbrias, que le permiten adherirse a los tejidos, invadir células, degradar el tejido periodontal y evadir los mecanismos de defensa del huésped, incluyendo el
complemento y la respuesta de los neutrófilos, lo que contribuye a la persistencia de la infección.
Su acción puede llevar a una pérdida rápida de los dientes.
Además de su impacto en la salud bucal, se ha asociado con diversas enfermedades sistémicas.
Entre ellas destacan:
- Enfermedad de Alzheimer: se ha identificado su presencia en tejidos cerebrales de pacientes con esta condición.
- Enfermedades cardiovasculares: está vinculada al aumento del riesgo de ataques cardíacos y otros problemas cardiovasculares.
- Diabetes: también se ha relacionado con esta enfermedad metabólica.
- Cáncer de páncreas: investigaciones recientes apuntan a un posible vínculo con esta forma de cáncer.
Es una bacteria asociada a la enfermedad periodontal crónica.
Diversos estudios han señalado una relación entre esta afección periodontal y la obstrucción arterial en pacientes con síndrome coronario agudo.
Además, recientemente se ha vinculado con el cáncer de páncreas.
Asociada con posibles infecciones en el torrente sanguíneo.
Recientemente vinculada al cáncer de páncreas.
Es un hongo que forma parte de la flora bacteriana asociada a la periodontitis crónica. Se ha señalado que contribuye al mantenimiento del proceso inflamatorio en las bolsas
periodontales.
En pacientes con diabetes, que presentan niveles elevados de glucosa y padecen periodontitis crónica, este hongo complica aún más su estado de salud. El exceso de glucosa actúa como un nutriente para Candida albicans, favoreciendo su reproducción y generando un círculo vicioso en el desarrollo de la enfermedad, con inflamación severa de las encías y niveles elevados de glucosa persistentes.
Además, en personas diabéticas, Candida albicans puede provocar problemas como candidiasis oral, peritonitis, vulvovaginitis, balanitis, abscesos cutáneos y hongos en las uñas.
Es un microorganismo que puede estar asociado a la periodontitis crónica. Habitualmente se localiza en la placa subgingival, especialmente en personas con factores de riesgo como la
diabetes.
Al igual que Candida albicans, tiene la capacidad de provocar las mismas patologías, y en pacientes con sistemas inmunológicos comprometidos puede desencadenar candidiasis invasiva e incluso septicemia.
Un estudio publicado en 2015 en la revista Andrología evaluó a 15,000 pacientes con el objetivo de analizar la relación entre la enfermedad periodontal crónica y la disfunción eréctil. Los resultados concluyeron que esta condición bucal desempeña un papel relevante en el desarrollo de la disfunción debido al complejo mecanismo del proceso inflamatorio en las encías, así como a las toxinas que ejercen interacción a nivel local.
Hasta la fecha, este trabajo representa el estudio más amplio realizado con un muestreo de este tipo.
Las enfermedades cardiovasculares.
Están estrechamente relacionadas con la salud bucal, particularmente con la enfermedad periodontal crónica, que introduce alrededor de 30 tipos de bacterias diferentes en la sangre durante episodios de bacteremia.
Entre estas bacterias, destaca el:
Streptococcus viridans, el cual se asocia con afecciones como fiebre reumática, valvulopatías y endocarditis.
Streptococcus sanguis, al entrar en el torrente sanguíneo, actúa como un potente agente trombogénico debido a su capacidad para inducir la adhesión y agregación de plaquetas, lo que puede favorecer la formación de coágulos.
Porphyromonas gingivalis, un periodontopatógeno anaerobio gramnegativo, tiene fimbrias en su superficie que le permiten adherirse e invadir células epiteliales y endoteliales del sistema cardiovascular. Este microorganismo se multiplica dentro de estas células, evade la respuesta inmune y altera su funcionamiento normal, representando un riesgo significativo para la salud cardiovascular.
Un estudio realizado con 9760 individuos de entre 25 y 74 años, evaluando diversos factores relacionados con la enfermedad coronaria, mostró resultados reveladores tras 14 años de seguimiento. Se encontró que la enfermedad periodontal incrementa en un 25% el riesgo de desarrollar afecciones cardiovasculares. Este riesgo es aún más alto en personas menores de 50 años con enfermedad periodontal y se agrava notablemente cuando hay pérdida de piezas dentales asociada a la enfermedad periodontal.
La prevención de la enfermedad periodontal, en cualquiera de sus etapas, comienza con el cepillado dental tres veces al día o después de cada comida. Asimismo, es fundamental realizar una limpieza dental cada seis meses para eliminar la placa bacteriana, las manchas en los dientes y el sarro, los cuales son responsables de la enfermedad periodontal.
